Implanty zębowe to innowacyjne rozwiązanie stosowane w stomatologii, które pozwala na odbudowę brakujących zębów. Wyróżniamy kilka rodzajów implantów, które różnią się materiałem, kształtem oraz metodą umiejscowienia w kości. Najpopularniejsze są implanty tytanowe, które charakteryzują się wysoką biokompatybilnością oraz trwałością. Tytan jest materiałem, który doskonale integruje się z tkankami kostnymi, co sprawia, że implanty te są bardzo stabilne i mogą służyć przez wiele lat. Innym rodzajem są implanty ceramiczne, które cieszą się rosnącą popularnością ze względu na estetykę. Ceramika jest materiałem o kolorze zbliżonym do naturalnych zębów, co sprawia, że implanty te są mniej widoczne. Warto również wspomnieć o implantach miniaturowych, które są stosowane w przypadku pacjentów z ograniczoną ilością kości. Te mniejsze implanty wymagają mniej inwazyjnego zabiegu chirurgicznego i mogą być alternatywą dla tradycyjnych rozwiązań.
Jakie są zalety i wady różnych rodzajów implantów zębowych
Wybór odpowiedniego rodzaju implantu zębowego wiąże się z wieloma czynnikami, a każdy typ ma swoje zalety oraz wady. Implanty tytanowe są uznawane za standard w stomatologii ze względu na swoją trwałość oraz wysoką skuteczność. Ich główną zaletą jest możliwość długotrwałego użytkowania oraz niska podatność na uszkodzenia. Jednak ich wadą może być wyższy koszt oraz potencjalna reakcja alergiczna u niektórych pacjentów. Z kolei implanty ceramiczne oferują lepszą estetykę, ponieważ ich kolor przypomina naturalne zęby, co czyni je idealnym rozwiązaniem dla osób dbających o wygląd. Niestety, ceramiczne implanty mogą być bardziej kruche i mniej odporne na obciążenia mechaniczne niż ich tytanowe odpowiedniki. Implanty miniaturowe to świetna opcja dla pacjentów z ograniczoną ilością kości, jednak ich stabilność może być niższa w porównaniu do większych implantów.
Jak przebiega proces wszczepiania różnych rodzajów implantów zębowych

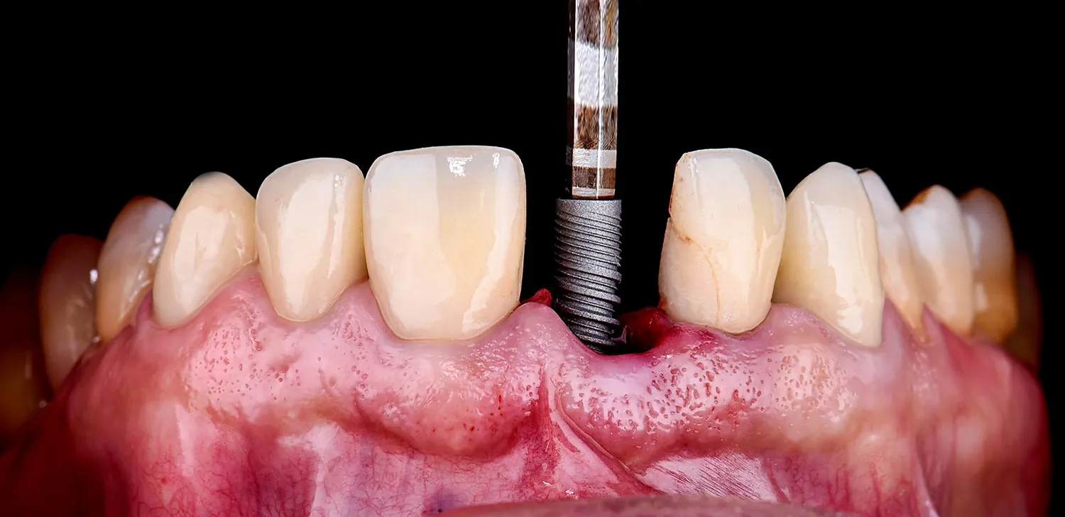
Proces wszczepiania implantów zębowych jest skomplikowanym zabiegiem chirurgicznym, który wymaga staranności oraz precyzji ze strony lekarza stomatologa. Na początku przeprowadzana jest szczegółowa diagnostyka, która obejmuje zdjęcia rentgenowskie oraz tomografię komputerową szczęki pacjenta. Dzięki tym badaniom lekarz ocenia stan kości oraz planuje miejsce wszczepienia implantu. W przypadku implantów tytanowych najpierw wykonuje się niewielkie nacięcie w dziąśle, a następnie przygotowuje miejsce w kości na wszczepienie implantu. Po umiejscowieniu implantu następuje okres gojenia, który trwa zazwyczaj od kilku tygodni do kilku miesięcy, podczas którego implant integruje się z kością. W przypadku implantów ceramicznych proces jest podobny, jednak należy zwrócić szczególną uwagę na ich delikatność podczas wszczepiania. Implanty miniaturowe mogą być wszczepiane w mniej inwazyjny sposób i często wymagają krótszego czasu gojenia.
Jakie są koszty związane z różnymi rodzajami implantów zębowych
Koszt związany z wszczepieniem implantów zębowych może znacznie różnić się w zależności od wybranego rodzaju implantu oraz lokalizacji gabinetu stomatologicznego. Implanty tytanowe zazwyczaj są droższe od ceramicznych ze względu na ich trwałość oraz powszechność stosowania w stomatologii. Koszt jednego implantu tytanowego może wynosić od kilku do kilkunastu tysięcy złotych, a dodatkowo należy uwzględnić koszty związane z zabiegami chirurgicznymi oraz protetycznymi. Implanty ceramiczne mogą być nieco tańsze, ale ich cena również może sięgać kilku tysięcy złotych za sztukę. W przypadku implantów miniaturowych koszty mogą być niższe ze względu na mniejsze wymagania dotyczące zabiegu chirurgicznego; jednakże warto pamiętać o ich ograniczonej stabilności i potencjalnych dodatkowych kosztach związanych z późniejszymi zabiegami protetycznymi.
Jakie są najnowsze technologie w implantologii stomatologicznej
W ostatnich latach rozwój technologii w dziedzinie implantologii stomatologicznej znacząco wpłynął na jakość oraz efektywność zabiegów wszczepiania implantów zębowych. Jednym z najważniejszych osiągnięć jest zastosowanie technologii cyfrowych, które umożliwiają precyzyjne planowanie zabiegów. Dzięki skanowaniu 3D oraz programom komputerowym lekarze mogą dokładnie zaplanować miejsce wszczepienia implantu, co minimalizuje ryzyko powikłań i zwiększa skuteczność leczenia. Kolejnym innowacyjnym rozwiązaniem są implanty zębowe wykonane z materiałów bioaktywnych, które wspomagają proces gojenia i integracji z kością. Takie implanty mogą przyspieszyć czas rehabilitacji pacjenta oraz poprawić estetykę końcowego efektu. Warto również zwrócić uwagę na technologię CAD/CAM, która pozwala na szybkie i precyzyjne wykonanie koron protetycznych na implantach. Dzięki tej technologii możliwe jest uzyskanie idealnego dopasowania oraz estetyki, co znacząco wpływa na satysfakcję pacjentów. Wprowadzenie laserów do chirurgii stomatologicznej również przynosi korzyści, ponieważ zmniejsza ból oraz krwawienie podczas zabiegów, a także przyspiesza proces gojenia.
Jak dbać o zdrowie implantów zębowych po ich wszczepieniu
Prawidłowa pielęgnacja implantów zębowych jest kluczowa dla ich długowieczności oraz zdrowia jamy ustnej. Po wszczepieniu implantu niezwykle ważne jest przestrzeganie zaleceń lekarza stomatologa dotyczących higieny jamy ustnej. Należy regularnie szczotkować zęby co najmniej dwa razy dziennie oraz używać nici dentystycznych lub irygatorów do usuwania resztek pokarmowych z okolic implantu. Warto również stosować płyny do płukania jamy ustnej, które mają działanie antybakteryjne i pomagają w utrzymaniu zdrowia dziąseł. Regularne wizyty kontrolne u stomatologa są niezbędne, aby monitorować stan implantu oraz otaczających tkanek. Lekarz może zalecić dodatkowe zabiegi, takie jak skaling czy piaskowanie, które pomogą w usunięciu osadów i kamienia nazębnego. Ważne jest również unikanie palenia tytoniu, ponieważ może to negatywnie wpłynąć na proces gojenia oraz stabilność implantu. Osoby z implantami powinny także dbać o zdrową dietę bogatą w witaminy i minerały, które wspierają regenerację tkanek oraz ogólny stan zdrowia jamy ustnej.
Jakie są przeciwwskazania do wszczepienia implantów zębowych
Przed podjęciem decyzji o wszczepieniu implantu zębowego należy dokładnie ocenić stan zdrowia pacjenta oraz ewentualne przeciwwskazania do przeprowadzenia tego zabiegu. Istnieje kilka czynników, które mogą wykluczyć możliwość wszczepienia implantu lub wymagać dodatkowych badań przed zabiegiem. Przede wszystkim osoby cierpiące na choroby ogólnoustrojowe, takie jak cukrzyca czy choroby serca, powinny być dokładnie ocenione przez lekarza przed podjęciem decyzji o wszczepieniu implantu. Ponadto pacjenci przyjmujący leki immunosupresyjne lub mający problemy z krzepliwością krwi mogą być narażeni na większe ryzyko powikłań pooperacyjnych. Inne przeciwwskazania to aktywna choroba periodontologiczna, która może prowadzić do utraty kości wokół implantu, a także niewystarczająca ilość kości w miejscu planowanego wszczepienia. W takich przypadkach konieczne może być przeprowadzenie dodatkowych zabiegów rekonstrukcyjnych przed wszczepieniem implantu. Również palenie tytoniu może być czynnikiem ryzyka, który negatywnie wpływa na proces gojenia i stabilność implantu.
Jak długo trwa proces gojenia po wszczepieniu implantów zębowych
Czas gojenia po wszczepieniu implantów zębowych jest uzależniony od wielu czynników, takich jak rodzaj implantu, stan zdrowia pacjenta oraz technika chirurgiczna zastosowana podczas zabiegu. Zazwyczaj proces integracji implantu z kością trwa od trzech do sześciu miesięcy, chociaż w niektórych przypadkach może być krótszy lub dłuższy. W przypadku implantów tytanowych czas gojenia jest zazwyczaj dłuższy niż w przypadku ceramicznych ze względu na różnice w biokompatybilności materiałów. Ważnym czynnikiem wpływającym na czas gojenia jest także jakość tkanki kostnej pacjenta; osoby z dobrą jakością kości mogą doświadczać szybszego procesu integracji implantu. Po zakończeniu okresu gojenia następuje etap protetyczny, podczas którego lekarz mocuje koronę lub mostek protetyczny na implancie.
Jakie są alternatywy dla tradycyjnych implantów zębowych
Dla osób, które nie kwalifikują się do tradycyjnych implantów zębowych lub preferują inne metody odbudowy brakujących zębów istnieje kilka alternatywnych rozwiązań. Jednym z nich są mosty protetyczne, które opierają się na zdrowych zębach sąsiednich i pozwalają na odbudowę brakujących elementów uzębienia bez konieczności przeprowadzania zabiegu chirurgicznego. Mosty mogą być wykonane z różnych materiałów, takich jak ceramika czy metaloceramika, co pozwala na dobranie odpowiedniego rozwiązania pod kątem estetyki i funkcjonalności. Inną opcją są protezy ruchome, które można łatwo zakładać i zdejmować; jednak ich stabilność może być niższa niż w przypadku mostów czy implantów. Protezy mogą być całkowite lub częściowe w zależności od liczby brakujących zębów. Dla osób poszukujących mniej inwazyjnych rozwiązań dostępne są także systemy mini-implantów, które wymagają mniejszej ilości kości i krótszego czasu gojenia niż tradycyjne implanty; jednak ich zastosowanie może być ograniczone do określonych przypadków klinicznych.
Jakie są najczęstsze pytania dotyczące implantów zębowych
Wielu pacjentów ma liczne pytania dotyczące implantów zębowych, które mogą pomóc w podjęciu decyzji o leczeniu. Jednym z najczęściej zadawanych pytań jest to, jak długo trwa zabieg wszczepienia implantu. Zazwyczaj cały proces, od konsultacji do zakończenia leczenia protetycznego, może zająć kilka miesięcy, ale sam zabieg wszczepienia implantu trwa zazwyczaj od 30 minut do godziny. Inne pytanie dotyczy bólu związanego z zabiegiem; większość pacjentów zgłasza jedynie niewielki dyskomfort po zabiegu, który można złagodzić lekami przeciwbólowymi. Pacjenci często zastanawiają się również nad tym, czy implanty są trwałe; przy odpowiedniej pielęgnacji oraz regularnych wizytach kontrolnych mogą służyć przez wiele lat, a nawet całe życie. Wiele osób pyta także o koszty związane z implantami; warto pamiętać, że cena może się różnić w zależności od wybranego materiału oraz lokalizacji gabinetu stomatologicznego.



