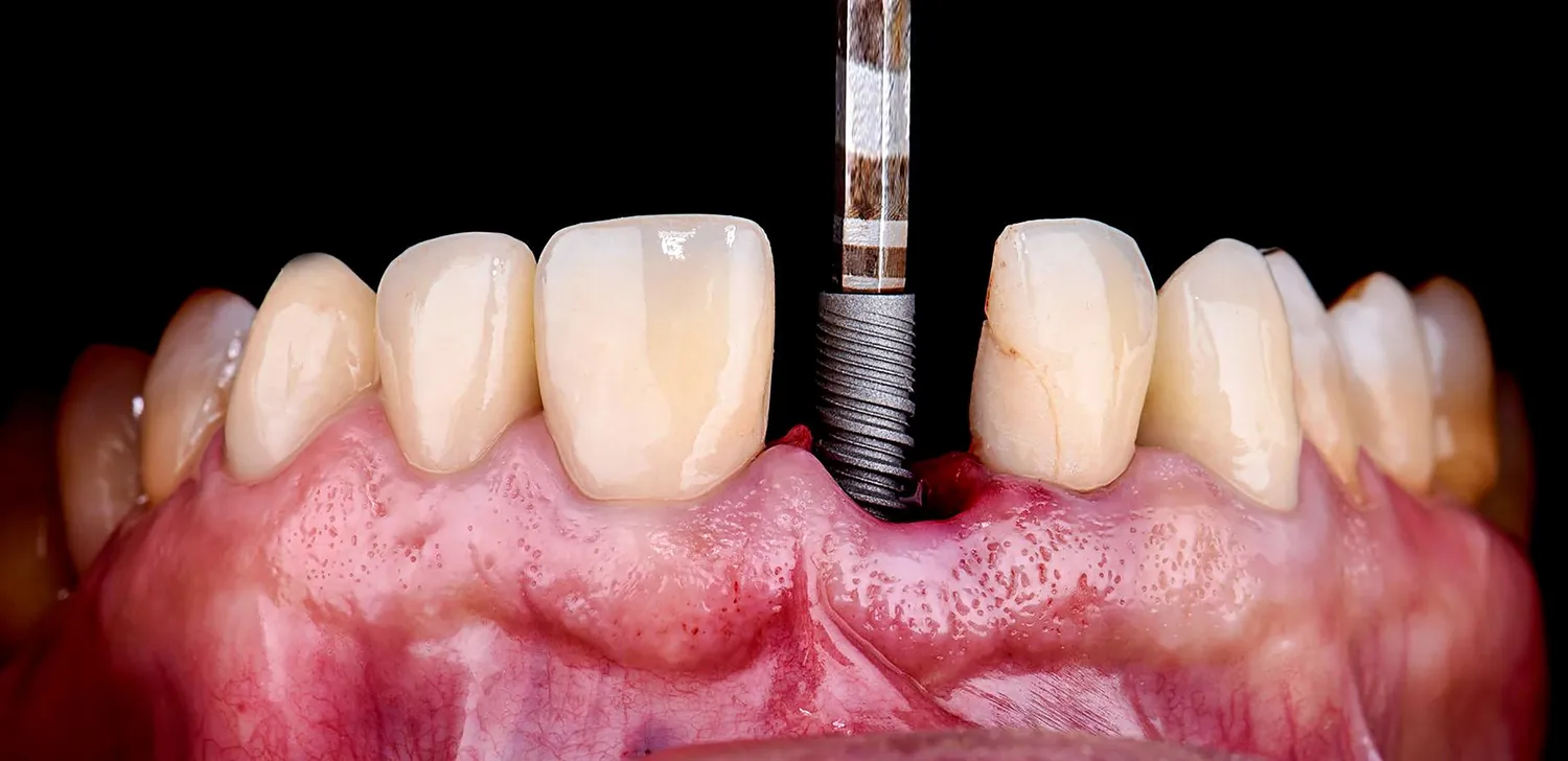
Zabieg wszczepiania implantów zębowych jest procesem, który wymaga staranności oraz precyzji ze strony specjalisty. Na początku pacjent przechodzi szczegółową konsultację, podczas której lekarz ocenia stan zdrowia jamy ustnej oraz wykonuje zdjęcia rentgenowskie, aby określić odpowiednie miejsca do wszczepienia implantów. Następnie, jeśli to konieczne, przeprowadza się zabiegi przygotowawcze, takie jak ekstrakcje zębów czy augmentacja kości. W dniu zabiegu pacjent otrzymuje znieczulenie miejscowe lub ogólne, w zależności od skomplikowania procedury oraz preferencji. Lekarz wykonuje nacięcie w dziąśle, aby uzyskać dostęp do kości szczęki lub żuchwy, a następnie umieszcza implant w odpowiednim miejscu. Po zakończeniu wszczepienia, rana jest zszywana, a pacjent otrzymuje zalecenia dotyczące pielęgnacji oraz diety na najbliższe dni.
Jakie są etapy rehabilitacji po wszczepieniu implantów zębowych
Rehabilitacja po wszczepieniu implantów zębowych jest kluczowym etapem, który ma na celu zapewnienie prawidłowego gojenia się tkanek oraz integracji implantu z kością. Po zabiegu pacjent powinien przestrzegać zaleceń lekarza dotyczących diety i higieny jamy ustnej. W pierwszych dniach zaleca się unikanie twardych i gorących potraw, a także picie alkoholu oraz palenie papierosów, które mogą negatywnie wpłynąć na proces gojenia. Warto również stosować zimne okłady na twarz w celu zmniejszenia obrzęku. Regularne wizyty kontrolne u stomatologa są niezbędne do monitorowania postępu gojenia oraz ewentualnego usunięcia szwów. Po kilku miesiącach, gdy implant zostanie dobrze osadzony w kości, można przystąpić do kolejnego etapu – wykonania korony protetycznej.
Jakie są zalety i wady zabiegu wszczepiania implantów zębowych

Zabieg wszczepiania implantów zębowych ma wiele zalet, które przyciągają pacjentów poszukujących trwałych rozwiązań dla brakujących zębów. Przede wszystkim implantu można używać jak naturalnego zęba, co pozwala na komfortowe jedzenie i mówienie. Dodatkowo, implanty zapobiegają utracie kości w miejscu braku zęba, co jest istotne dla zachowania struktury twarzy i estetyki uśmiechu. W porównaniu do tradycyjnych protez ruchomych, implanty są znacznie bardziej stabilne i nie wymagają użycia klejów dentystycznych. Niemniej jednak istnieją również pewne wady związane z tym zabiegiem. Koszt wszczepienia implantów może być znaczny i nie zawsze jest pokrywany przez ubezpieczenie zdrowotne.
Jak długo trwa proces gojenia po wszczepieniu implantów zębowych
Czas gojenia po wszczepieniu implantów zębowych jest kwestią indywidualną i zależy od wielu czynników, takich jak stan zdrowia pacjenta, jakość kości oraz przestrzeganie zaleceń lekarza. Zazwyczaj proces ten trwa od kilku tygodni do kilku miesięcy. W pierwszym etapie następuje integracja implantu z kością, co może trwać od 3 do 6 miesięcy. W tym czasie organizm pacjenta musi stworzyć nową tkankę kostną wokół implantu, co jest kluczowe dla jego stabilności i funkcjonalności. Po zakończeniu tego etapu można przystąpić do wykonania korony protetycznej. Warto zaznaczyć, że niektórzy pacjenci mogą doświadczać szybszego gojenia dzięki zastosowaniu nowoczesnych technologii oraz materiałów bioaktywnych wspomagających regenerację tkanek.
Jakie są najczęstsze powikłania po zabiegu wszczepiania implantów zębowych
Podczas zabiegu wszczepiania implantów zębowych, jak w każdej procedurze chirurgicznej, mogą wystąpić pewne powikłania. Najczęściej spotykanym problemem jest infekcja w miejscu wszczepienia implantu, która może prowadzić do nieprawidłowego gojenia się tkanek. Objawy infekcji obejmują ból, obrzęk oraz wydzielinę ropną. W przypadku wystąpienia tych objawów, niezbędna jest natychmiastowa interwencja stomatologiczna. Innym możliwym powikłaniem jest brak integracji implantu z kością, co może być spowodowane niewłaściwym umiejscowieniem implantu, brakiem odpowiedniej ilości kości lub chorobami ogólnoustrojowymi pacjenta. W takich przypadkach konieczne może być usunięcie implantu i przeprowadzenie dodatkowych zabiegów przygotowawczych. Również uszkodzenie sąsiednich zębów lub nerwów podczas zabiegu jest ryzykiem, które lekarz powinien starannie ocenić przed przystąpieniem do operacji.
Jakie są koszty związane z zabiegiem wszczepiania implantów zębowych
Koszty związane z zabiegiem wszczepiania implantów zębowych mogą się znacznie różnić w zależności od wielu czynników, takich jak lokalizacja gabinetu stomatologicznego, doświadczenie lekarza oraz rodzaj użytych materiałów. W Polsce ceny za jeden implant wahają się zazwyczaj od kilku do kilkunastu tysięcy złotych. Warto jednak pamiętać, że całkowity koszt leczenia obejmuje nie tylko sam implant, ale także dodatkowe procedury, takie jak konsultacje, zdjęcia rentgenowskie, ewentualne zabiegi przygotowawcze oraz wykonanie korony protetycznej. Dodatkowo, w przypadku pacjentów wymagających augmentacji kości lub innych specjalistycznych zabiegów, całkowity koszt może wzrosnąć jeszcze bardziej. Niektóre kliniki oferują możliwość ratalnego finansowania leczenia, co może ułatwić pacjentom pokrycie wydatków.
Jakie materiały są używane do produkcji implantów zębowych
Implanty zębowe są produkowane z różnych materiałów, które mają na celu zapewnienie trwałości oraz biokompatybilności. Najczęściej stosowanym materiałem jest tytan, który charakteryzuje się wysoką odpornością na korozję oraz doskonałą integracją z kością. Tytanowe implanty są uznawane za standard w stomatologii i cieszą się dużym uznaniem ze względu na swoją wytrzymałość oraz długowieczność. Oprócz tytanu, coraz częściej wykorzystuje się również materiały ceramiczne, takie jak cyrkon czy alumina. Implanty ceramiczne mają estetyczny wygląd i są szczególnie polecane dla pacjentów z alergiami na metale lub dla osób poszukujących rozwiązań bardziej naturalnych. Ważne jest również to, że materiały te muszą spełniać rygorystyczne normy jakości i bezpieczeństwa, aby zapewnić pacjentom komfort i skuteczność leczenia.
Jakie są alternatywy dla wszczepiania implantów zębowych
Dla pacjentów, którzy nie kwalifikują się do zabiegu wszczepiania implantów zębowych lub preferują inne rozwiązania, istnieje kilka alternatyw. Jedną z najpopularniejszych opcji są mosty protetyczne, które pozwalają na uzupełnienie brakujących zębów poprzez osadzenie ich na zdrowych filarach – naturalnych zębach pacjenta. Mosty protetyczne są mniej inwazyjne niż implanty i mogą być wykonane w krótszym czasie. Kolejną możliwością są protezy ruchome lub stałe, które można dostosować do indywidualnych potrzeb pacjenta. Protezy ruchome są łatwe w użytkowaniu i można je zdjąć na noc lub w trakcie czyszczenia. Z kolei protezy stałe są trwale mocowane w jamie ustnej i oferują lepszą stabilność oraz estetykę. Należy jednak pamiętać, że każda z tych opcji ma swoje ograniczenia i nie zawsze zapewnia taką samą funkcjonalność oraz komfort jak implanty dentystyczne.
Jak dbać o higienę jamy ustnej po wszczepieniu implantów zębowych
Prawidłowa higiena jamy ustnej po wszczepieniu implantów zębowych jest kluczowa dla zapewnienia ich długotrwałego funkcjonowania oraz zapobiegania powikłaniom. Po zakończeniu procesu gojenia pacjenci powinni stosować regularne szczotkowanie zębów co najmniej dwa razy dziennie przy użyciu miękkiej szczoteczki oraz pasty zawierającej fluor. Ważne jest również stosowanie nici dentystycznej lub irygatorów wodnych do czyszczenia przestrzeni międzyzębowych oraz okolic implantu. Regularne wizyty kontrolne u stomatologa pozwalają na monitorowanie stanu zdrowia jamy ustnej oraz wykrywanie ewentualnych problemów we wczesnym stadium. Pacjenci powinni również unikać palenia papierosów i nadmiernego spożycia alkoholu, ponieważ te czynniki mogą negatywnie wpłynąć na proces gojenia oraz zdrowie dziąseł wokół implantu.
Jakie są opinie pacjentów o wszczepianiu implantów zębowych
Opinie pacjentów dotyczące wszczepiania implantów zębowych są zazwyczaj pozytywne, zwłaszcza po zakończeniu całego procesu leczenia. Wielu pacjentów podkreśla znaczną poprawę jakości życia dzięki odzyskaniu pełnej funkcji żucia oraz estetyki uśmiechu. Osoby noszące implanty często zauważają większą pewność siebie i komfort w codziennym życiu społecznym. Jednakże niektórzy pacjenci mogą mieć obawy związane z bólem czy dyskomfortem podczas samego zabiegu oraz w okresie gojenia. Warto zaznaczyć, że każdy organizm reaguje inaczej na procedury chirurgiczne i towarzyszące im bóle mogą być różnie odczuwane przez poszczególne osoby. Dlatego tak istotna jest rozmowa z lekarzem przed zabiegiem oraz uzyskanie informacji na temat tego, czego można się spodziewać po operacji i w trakcie rehabilitacji.
Jak długo utrzymują się efekty po wszczepieniu implantów zębowych
Efekty po wszczepieniu implantów zębowych mogą utrzymywać się przez wiele lat, a nawet przez całe życie przy odpowiedniej pielęgnacji i regularnych wizytach kontrolnych u stomatologa. Implanty dentystyczne zostały zaprojektowane tak, aby były trwałe i odporne na działanie sił żucia podobnie jak naturalne zęby. Kluczowym czynnikiem wpływającym na długość ich użytkowania jest higiena jamy ustnej; zaniedbania mogą prowadzić do chorób przyzębia czy infekcji wokół implantu, co może skrócić jego żywotność. Ponadto styl życia pacjenta ma znaczenie; palenie papierosów czy niewłaściwa dieta mogą negatywnie wpłynąć na stan zdrowia jamy ustnej i przyspieszyć proces degradacji tkanek wokół implantu.
Jakie są najnowsze technologie w dziedzinie implantów zębowych
W dziedzinie implantów zębowych ciągle pojawiają się nowe technologie, które mają na celu poprawę efektywności oraz komfortu zabiegów. Jedną z najnowszych innowacji jest zastosowanie technologii cyfrowego planowania, która pozwala na precyzyjne zaplanowanie miejsca wszczepienia implantu przy użyciu skanowania 3D. Dzięki temu lekarze mogą dokładniej ocenić warunki anatomiczne pacjenta i dostosować zabieg do jego indywidualnych potrzeb. Kolejnym postępem jest rozwój materiałów bioaktywnych, które wspierają regenerację kości i tkanek miękkich wokół implantu. Te nowoczesne materiały mogą przyspieszyć proces gojenia oraz zwiększyć stabilność implantu. Również techniki minimalnie inwazyjne stają się coraz bardziej popularne, co pozwala na zmniejszenie bólu oraz obrzęku po zabiegu. Wreszcie, rozwój implantów o specjalnych powłokach, które sprzyjają integracji z kością, otwiera nowe możliwości w leczeniu pacjentów z trudnymi warunkami anatomicznymi.




