Implanty zygomatyczne to specjalistyczne rozwiązanie stomatologiczne, które jest stosowane w przypadku pacjentów z poważnym niedoborem kości w szczęce. W przeciwieństwie do tradycyjnych implantów, które są umieszczane w żuchwie lub szczęce, implanty zygomatyczne są osadzone w kości jarzmowej, co pozwala na ich zastosowanie nawet w trudnych warunkach anatomicznych. Dzięki swojej długości i specyfice konstrukcji, implanty te mogą być stabilnie osadzone w kości zygomatycznej, co umożliwia odbudowę brakujących zębów bez konieczności przeprowadzania skomplikowanych zabiegów przeszczepu kości. Proces ich wszczepienia wymaga dużej precyzji i doświadczenia ze strony chirurga stomatologicznego, ponieważ nieprawidłowe umiejscowienie implantu może prowadzić do powikłań. Warto również zaznaczyć, że implanty zygomatyczne są często stosowane w przypadkach, gdy pacjenci mają ograniczone możliwości leczenia tradycyjnymi metodami, co czyni je cennym narzędziem w nowoczesnej stomatologii.
Jakie są zalety stosowania implantów zygomatycznych?
Stosowanie implantów zygomatycznych niesie ze sobą wiele korzyści dla pacjentów, którzy borykają się z problemami związanymi z brakiem kości w szczęce. Przede wszystkim, jednym z głównych atutów tych implantów jest możliwość ich zastosowania bez konieczności przeprowadzania skomplikowanych zabiegów przeszczepu kości. Dla wielu pacjentów oznacza to szybszą drogę do uzyskania pełnej funkcjonalności uzębienia oraz poprawy estetyki uśmiechu. Kolejną zaletą jest krótki czas leczenia – dzięki nowoczesnym technikom chirurgicznym oraz możliwości jednoczesnego wszczepienia implantów i zamocowania tymczasowych koron, pacjenci mogą cieszyć się nowym uśmiechem już po kilku dniach od zabiegu. Ponadto, implanty zygomatyczne charakteryzują się wysoką stabilnością i trwałością, co sprawia, że mogą służyć przez wiele lat bez potrzeby wymiany. Warto również zwrócić uwagę na to, że poprawiają one jakość życia pacjentów poprzez umożliwienie im spożywania różnorodnych pokarmów oraz swobodnego mówienia bez obaw o wypadnięcie protezy.
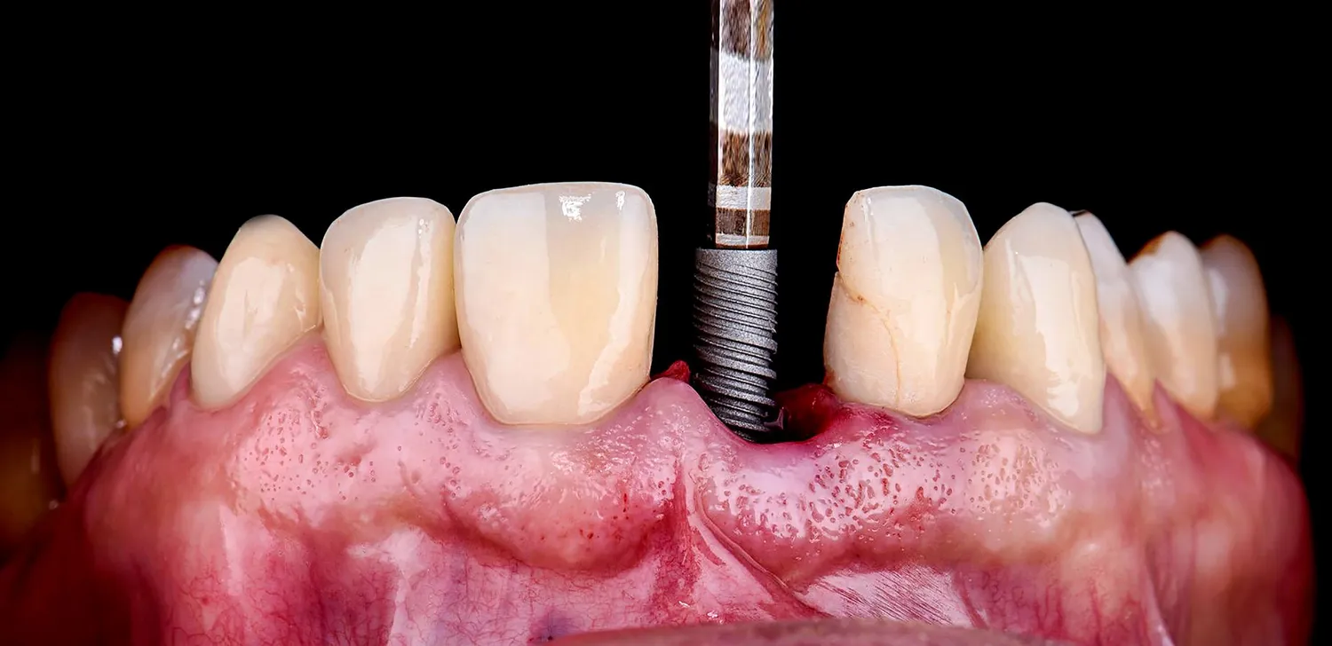
Jak przebiega proces wszczepiania implantów zygomatycznych?

Proces wszczepiania implantów zygomatycznych jest skomplikowanym zabiegiem chirurgicznym, który wymaga odpowiedniego przygotowania oraz doświadczenia ze strony zespołu medycznego. Na początku lekarz przeprowadza szczegółową diagnostykę, która obejmuje zdjęcia rentgenowskie oraz tomografię komputerową, aby ocenić stan kości i zaplanować dokładne umiejscowienie implantów. Następnie pacjent zostaje poddany znieczuleniu ogólnemu lub miejscowemu, a chirurg wykonuje nacięcie w dziąśle, aby uzyskać dostęp do kości jarzmowej. Po przygotowaniu miejsca wszczepienia lekarz umieszcza implanty w odpowiednich miejscach kości zygomatycznej. Cały proces może trwać od jednej do kilku godzin w zależności od liczby wszczepianych implantów oraz indywidualnych potrzeb pacjenta. Po zakończeniu zabiegu pacjent otrzymuje zalecenia dotyczące pielęgnacji jamy ustnej oraz diety na okres rekonwalescencji. Ważne jest również regularne kontrolowanie stanu zdrowia implantu przez dentystę w kolejnych miesiącach po zabiegu, aby zapewnić prawidłowe gojenie się tkanek oraz stabilność implantu.
Kto powinien rozważyć zastosowanie implantów zygomatycznych?
Implanty zygomatyczne są idealnym rozwiązaniem dla osób, które borykają się z poważnym niedoborem kości w szczęce i nie mogą skorzystać z tradycyjnych metod leczenia protetycznego. Często są one rekomendowane dla pacjentów po usunięciu wszystkich naturalnych zębów lub tych, którzy doświadczyli znacznej utraty tkanki kostnej na skutek urazów czy chorób periodontologicznych. Osoby cierpiące na schorzenia takie jak osteoporoza mogą również być kandydatami do tego typu leczenia pod warunkiem spełnienia określonych kryteriów zdrowotnych. Ważne jest jednak, aby przed podjęciem decyzji o wszczepieniu implantów zygomatycznych przeprowadzić dokładną konsultację ze specjalistą stomatologii oraz chirurgii szczękowej. Lekarz oceni stan zdrowia pacjenta oraz jego oczekiwania dotyczące leczenia i pomoże podjąć najlepszą decyzję.
Jakie są możliwe powikłania po wszczepieniu implantów zygomatycznych?
Jak w przypadku każdego zabiegu chirurgicznego, wszczepienie implantów zygomatycznych wiąże się z ryzykiem wystąpienia powikłań. Choć większość pacjentów przechodzi zabieg bezproblemowo, warto być świadomym potencjalnych zagrożeń. Najczęściej występującymi powikłaniami są infekcje w okolicy implantu, które mogą prowadzić do stanu zapalnego oraz bólu. Dlatego tak ważne jest przestrzeganie zasad higieny jamy ustnej oraz stosowanie się do zaleceń lekarza po zabiegu. Innym możliwym problemem jest niewłaściwe umiejscowienie implantu, co może prowadzić do dyskomfortu lub nawet uszkodzenia sąsiednich struktur anatomicznych, takich jak nerwy czy zatoki. W rzadkich przypadkach może również wystąpić odrzut implantu przez organizm, co wymaga jego usunięcia i ewentualnie przeprowadzenia dodatkowych badań diagnostycznych. Pacjenci powinni być świadomi tych ryzyk i otwarcie rozmawiać z lekarzem o wszelkich obawach przed przystąpieniem do zabiegu.
Jakie są koszty związane z implantami zygomatycznymi?
Koszty związane z wszczepieniem implantów zygomatycznych mogą się znacznie różnić w zależności od wielu czynników, takich jak lokalizacja kliniki, doświadczenie chirurga oraz zakres potrzebnego leczenia. W Polsce ceny za jeden implant zygomatyczny mogą wynosić od kilku do kilkunastu tysięcy złotych, a całkowity koszt leczenia może sięgnąć nawet kilkudziesięciu tysięcy złotych, jeśli konieczne jest wykonanie dodatkowych zabiegów, takich jak przeszczepy kości czy leczenie stomatologiczne. Warto zaznaczyć, że niektóre kliniki oferują możliwość rozłożenia płatności na raty, co może ułatwić pacjentom podjęcie decyzji o leczeniu. Ponadto wiele osób zastanawia się nad możliwością uzyskania refundacji części kosztów przez NFZ lub inne instytucje zdrowotne. W przypadku implantów zygomatycznych sytuacja ta jest jednak skomplikowana i często wymaga indywidualnej analizy.
Jak dbać o implanty zygomatyczne po zabiegu?
Prawidłowa pielęgnacja implantów zygomatycznych po zabiegu jest kluczowa dla ich długotrwałego sukcesu oraz zdrowia jamy ustnej pacjenta. Po pierwsze, ważne jest przestrzeganie zaleceń lekarza dotyczących diety oraz aktywności fizycznej w okresie rekonwalescencji. W pierwszych dniach po zabiegu zaleca się unikanie twardych i ostrych pokarmów, które mogą podrażnić miejsce wszczepienia. Zamiast tego warto postawić na miękką dietę bogatą w składniki odżywcze wspierające proces gojenia. Kolejnym istotnym aspektem jest higiena jamy ustnej – należy regularnie szczotkować zęby oraz używać nici dentystycznych, aby zapobiec gromadzeniu się bakterii wokół implantu. Nie można zapominać o regularnych wizytach kontrolnych u stomatologa, który oceni stan zdrowia implantu oraz otaczających go tkanek. W przypadku wystąpienia jakichkolwiek niepokojących objawów, takich jak ból czy obrzęk, należy niezwłocznie skontaktować się z lekarzem.
Jak długo trwa proces gojenia po wszczepieniu implantów zygomatycznych?
Czas gojenia po wszczepieniu implantów zygomatycznych może być różny w zależności od indywidualnych predyspozycji pacjenta oraz specyfiki przeprowadzonego zabiegu. Zazwyczaj proces ten trwa od kilku tygodni do kilku miesięcy. W pierwszych dniach po operacji pacjenci mogą odczuwać dyskomfort oraz obrzęk w okolicy miejsca wszczepienia, co jest normalną reakcją organizmu na interwencję chirurgiczną. W tym czasie ważne jest przestrzeganie zaleceń lekarza dotyczących diety oraz pielęgnacji jamy ustnej. Po około dwóch tygodniach następuje zwykle znaczna poprawa samopoczucia pacjenta, a szwy są usuwane przez lekarza podczas wizyty kontrolnej. Pełne osadzenie implantu w kości może trwać dłużej – zazwyczaj od trzech do sześciu miesięcy – w zależności od jakości tkanki kostnej oraz ogólnego stanu zdrowia pacjenta. Po zakończeniu procesu gojenia możliwe jest zamocowanie stałych koron protetycznych na implantach, co przywraca pełną funkcjonalność uzębienia i estetykę uśmiechu.
Jakie są alternatywy dla implantów zygomatycznych?
Choć implanty zygomatyczne stanowią doskonałe rozwiązanie dla wielu pacjentów borykających się z niedoborem kości w szczęce, istnieją również inne opcje leczenia protetycznego, które mogą być rozważane w zależności od indywidualnych potrzeb i warunków anatomicznych pacjenta. Jedną z najpopularniejszych alternatyw są tradycyjne implanty stomatologiczne umieszczane w żuchwie lub szczęce, które wymagają jednak odpowiedniej ilości tkanki kostnej do ich stabilizacji. W przypadku pacjentów z jej niedoborem możliwe jest przeprowadzenie zabiegów przeszczepu kości lub augmentacji kości przed wszczepieniem tradycyjnych implantów. Inną opcją są protezy ruchome lub stałe mocowane na istniejących zębach lub implantach, które mogą być stosowane u pacjentów niekwalifikujących się do zabiegu wszczepienia implantów ze względu na stan zdrowia lub inne czynniki ryzyka. Warto również zwrócić uwagę na nowoczesne rozwiązania takie jak mosty protetyczne czy systemy mini-implantów, które mogą być mniej inwazyjne i tańsze niż tradycyjne metody odbudowy uzębienia.
Jakie są opinie pacjentów o implantach zygomatycznych?
Opinie pacjentów dotyczące implantów zygomatycznych są zazwyczaj pozytywne, zwłaszcza w kontekście poprawy jakości życia oraz estetyki uśmiechu po zakończeniu leczenia. Wielu pacjentów podkreśla znaczenie szybkiego powrotu do normalności dzięki możliwości jednoczesnego zamocowania tymczasowych koron już podczas pierwszej wizyty po zabiegu. Osoby korzystające z tego typu rozwiązań często zauważają znaczną poprawę komfortu podczas jedzenia oraz mówienia w porównaniu do noszenia tradycyjnych protez ruchomych. Pacjenci cenią sobie również fakt, że dzięki implantom zygomatycznym mogą uniknąć skomplikowanych procedur przeszczepu kości, co skraca czas leczenia i zmniejsza stres związany z interwencją chirurgiczną. Oczywiście jak każdy zabieg medyczny, także wszczepienie implantów może wiązać się z pewnymi obawami i lękami przed operacją; jednakże większość osób zgłasza wysoką satysfakcję ze swojego wyboru po zakończeniu procesu rehabilitacji.




