Wymiana zębów na implanty to coraz bardziej popularna opcja wśród osób, które borykają się z problemem utraty zębów. Koszt takiej procedury w Polsce może się znacznie różnić w zależności od wielu czynników. Przede wszystkim, ceny implantów mogą się różnić w zależności od wybranej kliniki oraz użytych materiałów. Warto zaznaczyć, że implanty dentystyczne to nie tylko sama śruba tytanowa, ale także korona, która jest umieszczana na implancie. Ceny za pojedynczy implant mogą wynosić od około 3000 do 6000 złotych, co obejmuje zarówno zabieg chirurgiczny, jak i późniejsze dopasowanie korony. Dodatkowo, niektóre kliniki oferują pakiety, które mogą obejmować konsultacje oraz dodatkowe usługi, takie jak zdjęcia rentgenowskie czy znieczulenie. Warto również zwrócić uwagę na to, że niektóre osoby mogą potrzebować dodatkowych zabiegów przed wszczepieniem implantu, takich jak augmentacja kości czy sinus lifting, co również wpływa na całkowity koszt leczenia.
Jakie są dodatkowe koszty związane z implantami zębowymi?
Decydując się na wymianę zębów na implanty, warto być świadomym dodatkowych kosztów, które mogą się pojawić w trakcie całego procesu leczenia. Oprócz samego kosztu implantu, który już został omówiony, istnieją inne wydatki związane z przygotowaniem do zabiegu oraz jego późniejszą realizacją. Na przykład, wiele osób potrzebuje wykonania zdjęć rentgenowskich lub tomografii komputerowej przed wszczepieniem implantu, co generuje dodatkowe koszty. Kolejnym istotnym elementem są wizyty kontrolne po zabiegu oraz ewentualne korekty czy poprawki, które mogą być konieczne w przypadku wystąpienia komplikacji. Warto również pamiętać o tym, że niektóre osoby mogą potrzebować wcześniejszych zabiegów stomatologicznych, takich jak leczenie kanałowe czy usunięcie starych zębów. Te wszystkie czynniki wpływają na ostateczny koszt wymiany zębów na implanty i powinny być uwzględnione w budżecie przeznaczonym na leczenie stomatologiczne.
Jak długo trwa proces wymiany zębów na implanty?

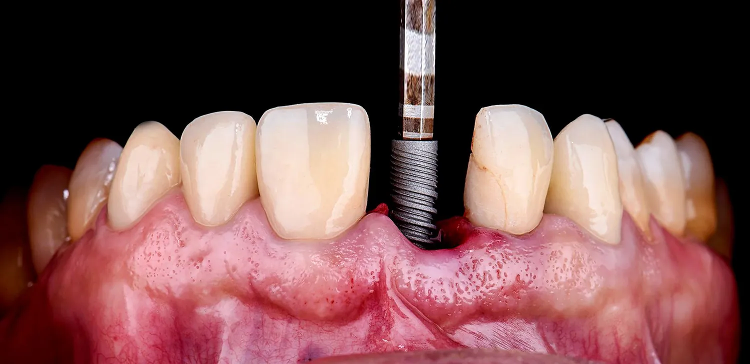
Proces wymiany zębów na implanty to skomplikowany i czasochłonny proces, który wymaga staranności i cierpliwości zarówno ze strony pacjenta, jak i lekarza. Cała procedura może trwać od kilku miesięcy do nawet roku w zależności od indywidualnych potrzeb pacjenta oraz stanu zdrowia jamy ustnej. Pierwszym krokiem jest konsultacja ze specjalistą, podczas której lekarz ocenia stan uzębienia i podejmuje decyzję o dalszym postępowaniu. Następnie wykonuje się zdjęcia rentgenowskie oraz tomografię komputerową w celu dokładnego zaplanowania zabiegu. Po tej fazie następuje wszczepienie implantu do kości szczęki lub żuchwy. W przypadku zdrowej kości czas gojenia wynosi zazwyczaj od 3 do 6 miesięcy. Po tym okresie można przystąpić do wykonania korony protetycznej.
Czy są jakieś alternatywy dla implantów zębowych?
Wymiana zębów na implanty to jedna z najskuteczniejszych metod przywracania funkcji żucia oraz estetyki uśmiechu, jednak nie jest jedyną dostępną opcją dla osób borykających się z utratą zębów. Istnieje kilka alternatyw dla implantów dentystycznych, które mogą być rozważane w zależności od indywidualnych potrzeb pacjenta oraz jego stanu zdrowia jamy ustnej. Jedną z najpopularniejszych opcji są mosty protetyczne, które polegają na osadzeniu sztucznych zębów pomiędzy zdrowymi zębami filarowymi. Mosty są tańszą alternatywą niż implanty i mogą być wykonane stosunkowo szybko, jednak wymagają oszlifowania sąsiednich zdrowych zębów. Inną opcją są protezy ruchome lub stałe, które również przywracają funkcję żucia i estetykę uśmiechu. Protezy są mniej inwazyjne niż implanty i można je łatwo usunąć do czyszczenia.
Jakie są zalety i wady implantów zębowych?
Decydując się na wymianę zębów na implanty, warto dokładnie rozważyć zarówno zalety, jak i wady tej metody. Implanty dentystyczne mają wiele korzyści, które przyciągają pacjentów. Przede wszystkim, są one bardzo trwałe i mogą służyć przez wiele lat, a nawet całe życie, jeśli są odpowiednio pielęgnowane. Dzięki nim można przywrócić pełną funkcję żucia oraz poprawić estetykę uśmiechu, co ma ogromne znaczenie dla pewności siebie pacjenta. Implanty nie wpływają również na zdrowie sąsiednich zębów, ponieważ nie wymagają ich oszlifowania, jak to ma miejsce w przypadku mostów protetycznych. Dodatkowo, implanty wspierają kość szczęki, zapobiegając jej zanikowi, co jest istotnym czynnikiem w długoterminowym zdrowiu jamy ustnej. Z drugiej strony, istnieją również pewne wady związane z tą metodą. Koszt wymiany zębów na implanty może być znaczny, co dla wielu osób stanowi barierę finansową. Ponadto, proces ich wszczepienia jest inwazyjny i wymaga przeprowadzenia zabiegu chirurgicznego, co wiąże się z ryzykiem powikłań oraz długim czasem gojenia.
Jakie są najnowsze technologie w dziedzinie implantologii?
Implantologia to dziedzina stomatologii, która nieustannie się rozwija dzięki nowym technologiom i innowacjom. W ostatnich latach pojawiło się wiele nowoczesnych rozwiązań, które znacząco poprawiają komfort pacjentów oraz efektywność zabiegów. Jednym z najważniejszych osiągnięć jest zastosowanie technologii cyfrowej w planowaniu zabiegów implantologicznych. Dzięki skanowaniu 3D oraz tomografii komputerowej lekarze mogą dokładnie zaplanować miejsce wszczepienia implantu oraz ocenić stan kości pacjenta. To pozwala na minimalizację ryzyka powikłań oraz skrócenie czasu gojenia. Kolejnym innowacyjnym rozwiązaniem są implanty o zwiększonej biokompatybilności, które lepiej integrują się z tkankami kostnymi pacjenta. Wprowadzenie materiałów takich jak tytan czy ceramika umożliwia lepsze przyleganie implantu do kości oraz zmniejsza ryzyko odrzucenia przez organizm. Dodatkowo, techniki takie jak wszczepienie natychmiastowe pozwalają na umieszczenie implantu zaraz po usunięciu zęba, co znacznie skraca czas leczenia.
Jakie są opinie pacjentów na temat implantów zębowych?
Opinie pacjentów na temat wymiany zębów na implanty są zazwyczaj pozytywne, jednak warto zwrócić uwagę na różnorodność doświadczeń związanych z tym zabiegiem. Wielu pacjentów podkreśla znaczną poprawę jakości życia po wszczepieniu implantów dentystycznych. Osoby te często wskazują na zwiększenie pewności siebie oraz komfortu podczas jedzenia i mówienia. Dzięki implantom mogą cieszyć się pełną funkcjonalnością uzębienia, co wcześniej było niemożliwe z powodu utraty zębów. Pacjenci chwalą również estetykę uzyskanych efektów – implanty wyglądają naturalnie i nie różnią się od pozostałych zębów. Z drugiej strony niektórzy pacjenci mogą doświadczać pewnych trudności związanych z procesem gojenia lub wystąpieniem komplikacji po zabiegu. Niekiedy zdarzają się problemy związane z integracją implantu z kością lub infekcje w miejscu wszczepienia. Dlatego ważne jest, aby pacjenci byli świadomi potencjalnych ryzyk i odpowiednio przygotowani do procesu leczenia.
Jak dbać o implanty zębowe po ich wszczepieniu?
Prawidłowa pielęgnacja implantów dentystycznych jest kluczowa dla ich długowieczności oraz zdrowia jamy ustnej. Po wszczepieniu implantu ważne jest przestrzeganie zaleceń lekarza dotyczących higieny oraz regularnych wizyt kontrolnych. Podstawowym krokiem w dbaniu o implanty jest codzienne szczotkowanie zębów oraz używanie nici dentystycznej do oczyszczania przestrzeni międzyzębowych. Warto także stosować płyny do płukania jamy ustnej zawierające składniki antybakteryjne, które pomogą utrzymać zdrową florę bakteryjną w jamie ustnej i zapobiegać infekcjom wokół implantu. Regularne wizyty u dentysty są niezbędne do monitorowania stanu zdrowia implantu oraz otaczających go tkanek miękkich. W przypadku wystąpienia jakichkolwiek problemów należy niezwłocznie zgłosić się do specjalisty w celu szybkiego rozwiązania problemu. Ponadto ważne jest unikanie palenia tytoniu oraz nadmiernego spożycia alkoholu, ponieważ te czynniki mogą negatywnie wpływać na proces gojenia oraz integrację implantu z kością.
Czy wymiana zębów na implanty jest bezpieczna?
Bezpieczeństwo wymiany zębów na implanty to jedno z najczęściej zadawanych pytań przez osoby rozważające tę metodę leczenia stomatologicznego. Ogólnie rzecz biorąc, procedura ta jest uważana za bezpieczną i skuteczną, zwłaszcza gdy przeprowadzana jest przez doświadczonego specjalistę w odpowiednich warunkach klinicznych. Współczesna stomatologia dysponuje zaawansowanymi technologiami oraz materiałami biokompatybilnymi, które minimalizują ryzyko powikłań podczas zabiegu oraz po jego zakończeniu. Niemniej jednak każdy zabieg chirurgiczny wiąże się z pewnym ryzykiem wystąpienia komplikacji takich jak infekcje czy problemy z integracją implantu z kością. Dlatego tak ważne jest przeprowadzenie dokładnej analizy stanu zdrowia pacjenta przed przystąpieniem do zabiegu oraz przestrzeganie zaleceń lekarza zarówno przed, jak i po operacji.
Jak wybrać odpowiednią klinikę do wymiany zębów na implanty?
Wybór odpowiedniej kliniki do wymiany zębów na implanty to kluczowy krok w procesie leczenia stomatologicznego. Istotne jest, aby zwrócić uwagę na kilka czynników przed podjęciem decyzji o wyborze miejsca przeprowadzenia zabiegu. Przede wszystkim warto sprawdzić kwalifikacje lekarzy prowadzących klinikę – doświadczenie i specjalizacja w dziedzinie implantologii mają ogromne znaczenie dla bezpieczeństwa i skuteczności zabiegu. Dobrym pomysłem jest również zapoznanie się z opiniami innych pacjentów oraz rekomendacjami znajomych lub rodziny, którzy mieli doświadczenia związane z podobnymi procedurami w danej placówce. Kolejnym istotnym aspektem jest wyposażenie kliniki – nowoczesny sprzęt oraz stosowanie innowacyjnych technologii mogą znacząco wpłynąć na jakość świadczonych usług oraz komfort pacjenta podczas zabiegu.




