Piękny uśmiech to nasza wizytówka, która dodaje pewności siebie i pozytywnie wpływa na pierwsze wrażenie. Białe, zdrowe zęby są jego nieodłącznym elementem. Jednak osiągnięcie i utrzymanie takiego efektu wymaga zaangażowania i profesjonalnej opieki stomatologicznej. Współczesna stomatologia oferuje szeroki wachlarz rozwiązań, od profilaktyki po zaawansowane zabiegi estetyczne, które pozwalają na kompleksową poprawę wyglądu i zdrowia jamy ustnej. Kluczową rolę w tym procesie odgrywa dentysta, który jest przewodnikiem po świecie zdrowego uśmiechu.
Wizyta u stomatologa to nie tylko leczenie istniejących problemów, ale przede wszystkim inwestycja w przyszłość. Regularne kontrole pozwalają na wczesne wykrycie potencjalnych schorzeń, zanim zdążą się rozwinąć i spowodować poważniejsze komplikacje. Dentysta dobiera odpowiednie metody higieny, udziela porad dotyczących diety, a także proponuje zabiegi profilaktyczne, które minimalizują ryzyko próchnicy i chorób dziąseł. Dzięki temu możemy cieszyć się zdrowym uśmiechem przez długie lata.
Stomatologia estetyczna rozwija się w zawrotnym tempie, oferując coraz to nowsze i skuteczniejsze metody poprawy estetyki uzębienia. Od wybielania po licówki, każdy może znaleźć rozwiązanie dopasowane do swoich potrzeb i oczekiwań. Jednak nawet najbardziej zaawansowane zabiegi nie przyniosą długotrwałych efektów bez odpowiedniej higieny i regularnych wizyt kontrolnych u specjalisty. To właśnie dentysta pomaga nam świadomie dbać o nasz uśmiech, oferując wsparcie na każdym etapie pielęgnacji.
Jak dentysta pomaga w osiągnięciu pięknego i białego uśmiechu
Droga do idealnego uśmiechu często zaczyna się i kończy na fotelu dentystycznym. Specjalista stomatolog posiada wiedzę i narzędzia, aby ocenić stan zdrowia jamy ustnej, zidentyfikować ewentualne problemy i zaproponować najlepsze rozwiązania. Pierwszym i fundamentalnym krokiem jest profesjonalna higienizacja, która usuwa kamień nazębny i osady, często odpowiedzialne za nieestetyczny kolor zębów. Po takim zabiegu zęby stają się jaśniejsze, a ich powierzchnia gładka, co ułatwia codzienną higienę.
Kolejnym etapem, jeśli naturalny kolor zębów nie jest satysfakcjonujący, jest profesjonalne wybielanie. Dentysta dobiera odpowiednią metodę i stężenie preparatu wybielającego, aby zapewnić maksymalną skuteczność przy jednoczesnym bezpieczeństwie dla szkliwa i dziąseł. Dostępne są różne opcje, od wybielania gabinetowego, które daje natychmiastowe rezultaty, po metody nakładkowe, które można stosować w domu pod kontrolą lekarza. Właściwy dobór techniki jest kluczowy dla uniknięcia nadwrażliwości i innych niepożądanych efektów.
W przypadku bardziej złożonych problemów, takich jak przebarwienia, nierówności czy uszkodzenia zębów, dentysta może zaproponować bardziej zaawansowane zabiegi estetyczne. Mogą to być licówki, czyli cienkie płatki porcelany lub kompozytu, które przyklejane są do przedniej powierzchni zębów, maskując niedoskonałości i nadając im pożądany kształt i kolor. Alternatywnie, w zależności od sytuacji, można zastosować bonding kompozytowy lub korektę kształtu zębów za pomocą materiałów stomatologicznych. Każda z tych metod wymaga precyzji i doświadczenia, które posiada wykwalifikowany stomatolog.
Ważne jest również, aby pamiętać, że nawet po udanych zabiegach estetycznych, naturalne zęby wymagają stałej troski. Dentysta edukuje pacjentów w zakresie prawidłowej higieny, doboru odpowiednich szczoteczek, past i płynów do płukania jamy ustnej. Regularne wizyty kontrolne pozwalają monitorować stan uzupełnień protetycznych, ocenić kondycję dziąseł i w porę zareagować na wszelkie niepokojące zmiany. Tylko połączenie profesjonalnej opieki z codzienną, staranną pielęgnacją gwarantuje długotrwały efekt pięknego i zdrowego uśmiechu.
Wybielanie zębów pod kontrolą dentysty dla optymalnych rezultatów

Dentysta, przeprowadzając szczegółowy wywiad i badanie, oceni stan szkliwa i dziąseł, wykluczając przeciwwskazania do wybielania. Następnie, na podstawie indywidualnych potrzeb pacjenta, dobierze najodpowiedniejszą metodę. Może to być wybielanie gabinetowe, wykorzystujące wyższe stężenia środków wybielających i aktywowane światłem specjalistycznej lampy, co pozwala na uzyskanie widocznych efektów w ciągu jednej lub kilku wizyt. Jest to metoda szybka i bardzo skuteczna.
Alternatywą jest wybielanie nakładkowe, które pacjent może przeprowadzać samodzielnie w domu, jednak pod ścisłym nadzorem lekarza. Dentysta przygotowuje indywidualne, idealnie dopasowane do łuków zębowych pacjenta nakładki oraz dostarcza odpowiedni żel wybielający. Regularne stosowanie zgodnie z zaleceniami specjalisty pozwala na stopniowe rozjaśnianie zębów, minimalizując ryzyko skutków ubocznych. Ta metoda jest często wybierana ze względu na komfort i możliwość kontrolowania procesu.
Niezależnie od wybranej techniki, dentysta udziela szczegółowych instrukcji dotyczących higieny jamy ustnej przed i po zabiegu. Doradza również w kwestii diety, wskazując produkty i napoje, które mogą powodować ponowne przebarwienia. Po zakończonym wybielaniu, zaleca stosowanie specjalnych past remineralizujących, które wzmacniają szkliwo i zmniejszają jego podatność na nowe przebarwienia. Tylko profesjonalne podejście gwarantuje bezpieczeństwo i satysfakcjonujące, długotrwałe rezultaty, które podkreślą piękno naturalnego uśmiechu.
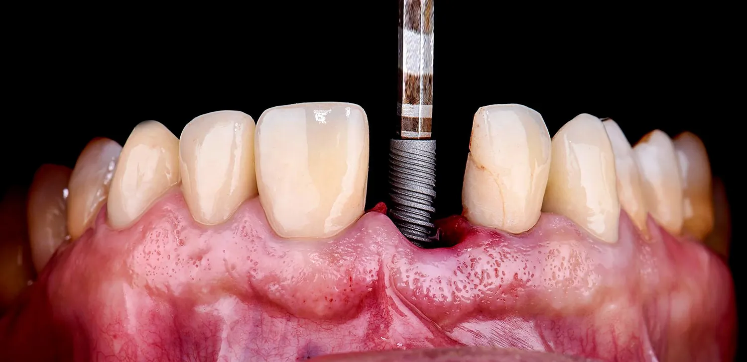
Licówki i korony dentystyczne dla idealnego kształtu i koloru zębów
Gdy wybielanie nie wystarcza, aby osiągnąć wymarzony uśmiech, lub gdy zęby mają nieodpowiedni kształt, są nierówne lub uszkodzone, dentysta może zaproponować zastosowanie licówek lub koron protetycznych. Te zaawansowane rozwiązania stomatologii estetycznej pozwalają na kompleksową metamorfozę uzębienia, przywracając mu naturalny wygląd, piękny kolor i harmonijną architekturę.
Licówki to cienkie płatki, najczęściej wykonane z wysokiej jakości porcelany, które przyklejane są do przedniej powierzchni zębów. Są one idealnym rozwiązaniem w przypadku niewielkich przebarwień, diastem (przerw między zębami), niewielkich pęknięć czy niedoskonałości kształtu. Proces ich zakładania jest minimalnie inwazyjny, polega zazwyczaj na delikatnym oszlifowaniu szkliwa, pobraniu wycisków i precyzyjnym dopasowaniu licówek. Efekt jest spektakularny, a licówki doskonale imitują naturalne szkliwo, są trwałe i odporne na przebarwienia.
Korony protetyczne są z kolei rozwiązaniem stosowanym w przypadku znacząco uszkodzonych zębów, osłabionych leczeniem kanałowym, czy po rozległych ubytkach próchnicowych. Korona całkowicie otacza ząb, odbudowując jego kształt, funkcję i estetykę. Podobnie jak w przypadku licówek, korony mogą być wykonane z porcelany, ceramiki, a także cyrkonu, materiałów zapewniających wysoką wytrzymałość i naturalny wygląd. Przygotowanie zęba pod koronę wymaga jego oszlifowania, a następnie wykonania precyzyjnych pomiarów, na podstawie których w laboratorium protetycznym tworzona jest indywidualna korona.
Wybór między licówkami a koronami zależy od skali problemu i stanu zdrowia zębów, a decyzję tę zawsze podejmuje dentysta wspólnie z pacjentem, biorąc pod uwagę jego oczekiwania i możliwości. Niezależnie od zastosowanej metody, kluczowe jest zachowanie odpowiedniej higieny jamy ustnej, która pozwoli cieszyć się pięknym uśmiechem przez długie lata. Regularne wizyty kontrolne u stomatologa są niezbędne do monitorowania stanu uzupełnień protetycznych i wczesnego wykrywania ewentualnych problemów.
Znaczenie profilaktyki stomatologicznej w utrzymaniu pięknego uśmiechu
Piękny uśmiech to nie tylko kwestia estetyki, ale przede wszystkim zdrowia jamy ustnej. Regularna profilaktyka stomatologiczna odgrywa kluczową rolę w zapobieganiu chorobom takim jak próchnica czy choroby przyzębia, które mogą prowadzić do utraty zębów i pogorszenia ogólnego stanu zdrowia. Współczesny dentysta kładzie ogromny nacisk na edukację pacjentów i promowanie zdrowych nawyków.
Podstawą profilaktyki jest codzienna, prawidłowa higiena jamy ustnej. Dentysta instruuje, jak skutecznie szczotkować zęby, jak używać nici dentystycznej lub irygatora, aby usunąć resztki pokarmowe i płytkę bakteryjną z trudno dostępnych miejsc. Doradza również w wyborze odpowiednich past do zębów i płynów do płukania, które mogą zawierać składniki wzmacniające szkliwo, działające przeciwbakteryjnie lub łagodzące nadwrażliwość.
Kolejnym ważnym elementem profilaktyki są regularne wizyty kontrolne u stomatologa, zazwyczaj co sześć miesięcy. Podczas takiej wizyty dentysta przeprowadza dokładne badanie jamy ustnej, ocenia stan zdrowia zębów i dziąseł, a także wykonuje profesjonalne czyszczenie zębów. Usuwa kamień nazębny i osady, które są trudne do usunięcia domowymi metodami i stanowią główną przyczynę chorób dziąseł i próchnicy. Może również zastosować zabiegi fluoryzacji, które wzmacniają szkliwo i czynią je bardziej odpornym na działanie kwasów.
Warto również zwrócić uwagę na rolę diety w utrzymaniu zdrowego uśmiechu. Dentysta może udzielić porad dotyczących ograniczenia spożycia cukrów prostych i kwaśnych napojów, które sprzyjają rozwojowi próchnicy. Zaleca spożywanie produktów bogatych w wapń i fosfor, które są niezbędne dla mocnych zębów. W niektórych przypadkach, zwłaszcza u dzieci, może zalecić lakowanie bruzd, czyli pokrycie ich specjalnym lakiem ochronnym, zapobiegającym gromadzeniu się bakterii i rozwojowi próchnicy w trudno dostępnych miejscach.
Jak wybrać dentystę, który pomoże w uzyskaniu pięknego uśmiechu
Wybór odpowiedniego dentysty to kluczowy krok na drodze do osiągnięcia i utrzymania zdrowego, pięknego uśmiechu. Nie każdy gabinet stomatologiczny oferuje ten sam zakres usług, a doświadczenie i podejście lekarza mogą mieć znaczący wpływ na komfort i efekty leczenia.
Pierwszym krokiem jest określenie własnych potrzeb. Czy poszukujemy stomatologa ogólnego, który zajmie się podstawową higieną i leczeniem, czy specjalisty od stomatologii estetycznej, który pomoże w wybielaniu, licówkach lub korekcie kształtu zębów? Warto poszukać gabinetów, które specjalizują się w dziedzinach, które nas interesują. Opinie innych pacjentów, dostępne w internecie lub rekomendacje od znajomych, mogą być cennym źródłem informacji.
Kolejnym ważnym aspektem jest atmosfera panująca w gabinecie. Wizyta u dentysty, zwłaszcza dla osób z lękiem przed leczeniem, powinna być jak najmniej stresująca. Warto zwrócić uwagę na to, czy personel gabinetu jest przyjazny i komunikatywny, czy lekarz poświęca pacjentowi wystarczająco dużo czasu, aby odpowiedzieć na wszystkie pytania i rozwiać wątpliwości. Dobry dentysta potrafi budować relację opartą na zaufaniu.
Nowoczesny sprzęt i stosowanie najnowszych technologii to również ważny czynnik. Gabinety, które inwestują w nowoczesne narzędzia, takie jak kamery wewnątrzustne, radiowizjografia cyfrowa czy mikroskopy stomatologiczne, często oferują bardziej precyzyjne i mniej inwazyjne metody leczenia. Ważne jest również, aby gabinet przestrzegał najwyższych standardów higieny i sterylizacji, co jest gwarancją bezpieczeństwa pacjenta.
Przed podjęciem ostatecznej decyzji, warto umówić się na konsultację, aby poznać lekarza i jego podejście. Podczas takiej wizyty można omówić plan leczenia, poznać szacunkowe koszty i ocenić, czy czujemy się komfortowo w towarzystwie danego specjalisty. Dentysta, który jest otwarty na dialog, potrafi wyjaśnić wszystkie etapy leczenia i zaproponować rozwiązania dopasowane do indywidualnych potrzeb, będzie najlepszym partnerem w dążeniu do pięknego i zdrowego uśmiechu.




