Bezśrubowe implanty to nowoczesne rozwiązanie w dziedzinie stomatologii, które zyskuje coraz większą popularność wśród pacjentów oraz specjalistów. W przeciwieństwie do tradycyjnych implantów, które wymagają użycia śrub do mocowania ich w kości szczękowej, bezśrubowe implanty opierają się na innowacyjnych technologiach, które eliminują potrzebę stosowania dodatkowych elementów mocujących. Dzięki temu proces wszczepienia staje się mniej inwazyjny, a pacjenci mogą cieszyć się szybszym czasem rekonwalescencji. Bezśrubowe implanty są projektowane tak, aby idealnie pasowały do naturalnej anatomii jamy ustnej, co zwiększa komfort noszenia oraz estetykę. Warto również zauważyć, że takie rozwiązania często wiążą się z mniejszym ryzykiem powikłań, co czyni je atrakcyjną alternatywą dla osób obawiających się tradycyjnych metod. W przypadku bezśrubowych implantów kluczowym elementem jest ich konstrukcja, która pozwala na stabilne osadzenie w kości bez konieczności użycia śrub.
Jakie są zalety stosowania bezśrubowych implantów
Bezśrubowe implanty oferują szereg korzyści, które przyciągają uwagę zarówno pacjentów, jak i dentystów. Jedną z najważniejszych zalet jest zmniejszona inwazyjność zabiegu. Dzięki braku konieczności stosowania śrub, procedura wszczepienia staje się prostsza i szybsza, co przekłada się na krótszy czas spędzony na fotelu dentystycznym. Pacjenci często odczuwają mniejszy dyskomfort oraz ból po zabiegu, co znacząco wpływa na ich ogólne samopoczucie. Kolejną istotną zaletą jest lepsza integracja implantu z tkankami kostnymi. Bezśrubowe implanty są zaprojektowane tak, aby maksymalnie wykorzystać naturalne właściwości kości, co sprzyja ich trwałości i stabilności w dłuższym okresie. Dodatkowo, brak elementów mocujących sprawia, że ryzyko wystąpienia infekcji czy innych powikłań jest znacznie niższe. Estetyka również odgrywa kluczową rolę – bezśrubowe implanty mogą być bardziej dyskretne i lepiej dopasowane do naturalnego wyglądu zębów pacjenta.
Czy bezśrubowe implanty są odpowiednie dla każdego pacjenta

Decyzja o zastosowaniu bezśrubowych implantów nie zawsze jest jednoznaczna i wymaga indywidualnego podejścia do każdego pacjenta. Wiele czynników wpływa na to, czy dana osoba może skorzystać z tego nowoczesnego rozwiązania. Przede wszystkim istotna jest jakość oraz ilość tkanki kostnej w miejscu planowanego wszczepienia implantu. Osoby z niedoborem kości mogą wymagać dodatkowych zabiegów przygotowawczych przed przystąpieniem do wszczepienia implantu. Ponadto stan zdrowia pacjenta ma kluczowe znaczenie – osoby cierpiące na choroby przewlekłe lub problemy z układem immunologicznym powinny skonsultować się ze specjalistą przed podjęciem decyzji o zabiegu. Również wiek pacjenta może mieć znaczenie; młodsze osoby często mają lepsze warunki do integracji implantu z kością. Warto również zwrócić uwagę na oczekiwania pacjenta dotyczące efektu końcowego oraz jego styl życia. Osoby aktywne fizycznie mogą mieć inne wymagania niż ci, którzy prowadzą bardziej siedzący tryb życia.
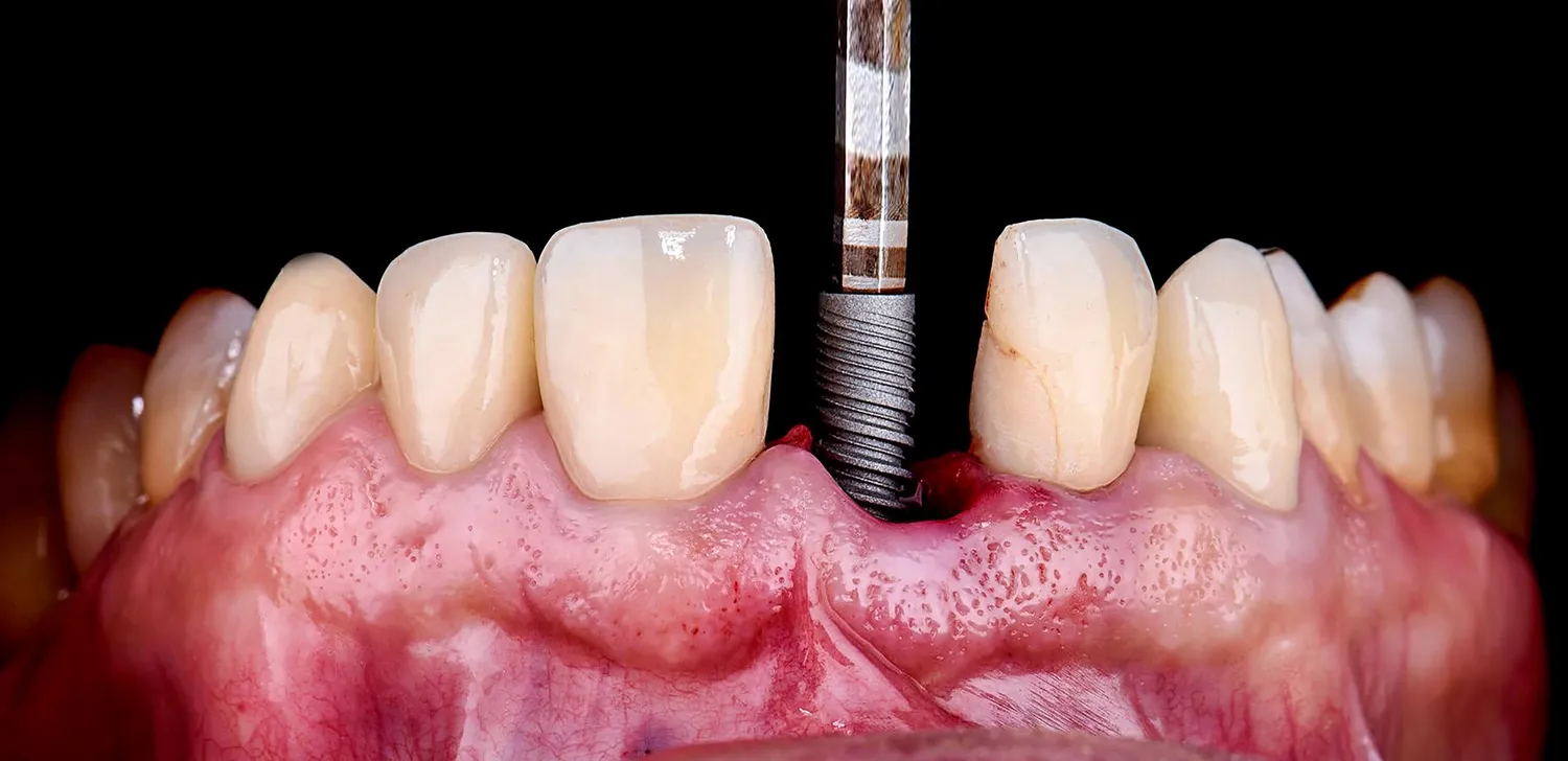
Jak przebiega proces wszczepienia bezśrubowych implantów
Proces wszczepienia bezśrubowych implantów jest zazwyczaj prostszy i szybszy niż w przypadku tradycyjnych rozwiązań stomatologicznych. Na początku lekarz przeprowadza szczegółową diagnostykę, która obejmuje zdjęcia rentgenowskie oraz analizy komputerowe jamy ustnej pacjenta. Dzięki temu można dokładnie ocenić stan tkanki kostnej oraz zaplanować optymalne miejsce dla implantu. Następnie następuje etap przygotowania do zabiegu – pacjent otrzymuje znieczulenie miejscowe lub ogólne, w zależności od skomplikowania procedury oraz preferencji lekarza i pacjenta. Po znieczuleniu lekarz wykonuje niewielkie nacięcie w dziąśle i precyzyjnie umieszcza implant w kości szczękowej. Kluczowym momentem jest właściwe osadzenie implantu – dzięki innowacyjnej konstrukcji nie wymaga on użycia śrub ani dodatkowych elementów mocujących. Po zakończeniu zabiegu pacjent otrzymuje zalecenia dotyczące pielęgnacji oraz postępowania w okresie rekonwalescencji. Zazwyczaj czas gojenia wynosi od kilku tygodni do kilku miesięcy, podczas których implant integruje się z tkankami kostnymi.
Jakie są różnice między bezśrubowymi a tradycyjnymi implantami
Różnice między bezśrubowymi a tradycyjnymi implantami są znaczące i mają wpływ na wybór metody leczenia przez pacjentów oraz lekarzy. Tradycyjne implanty stomatologiczne wymagają użycia śrub do mocowania implantu w kości, co może wiązać się z większym dyskomfortem oraz dłuższym czasem rekonwalescencji. W przypadku bezśrubowych implantów, konstrukcja implantu pozwala na osadzenie go w kości bez potrzeby stosowania dodatkowych elementów mocujących. Dzięki temu proces wszczepienia jest mniej inwazyjny, co przekłada się na mniejsze ryzyko powikłań oraz szybszy czas gojenia. Kolejną różnicą jest sposób integracji implantu z tkankami kostnymi. Bezśrubowe implanty często lepiej przylegają do kości, co sprzyja ich stabilności i trwałości. Warto również zwrócić uwagę na estetykę – bezśrubowe rozwiązania mogą być bardziej dyskretne i lepiej dopasowane do naturalnego wyglądu zębów pacjenta. Ostatecznie, wybór między tymi dwoma metodami zależy od indywidualnych potrzeb pacjenta, stanu zdrowia oraz oczekiwań dotyczących efektu końcowego.
Jakie są koszty związane z bezśrubowymi implantami
Koszty związane z bezśrubowymi implantami mogą się znacznie różnić w zależności od wielu czynników, takich jak lokalizacja gabinetu stomatologicznego, doświadczenie lekarza, a także rodzaj zastosowanych materiałów. Zazwyczaj cena za jeden bezśrubowy implant jest wyższa niż za tradycyjny implant ze względu na nowoczesną technologię oraz materiały wykorzystywane do ich produkcji. Warto jednak pamiętać, że wyższa cena często idzie w parze z lepszą jakością oraz mniejszym ryzykiem powikłań. Dodatkowo, niektóre kliniki oferują pakiety obejmujące cały proces leczenia, co może wpłynąć na ostateczny koszt zabiegu. Należy również uwzględnić wydatki związane z konsultacjami przed zabiegiem oraz ewentualnymi dodatkowymi procedurami przygotowawczymi, takimi jak przeszczepy kości czy zabiegi regeneracyjne. Warto również sprawdzić dostępność programów ratalnych lub ubezpieczeń zdrowotnych, które mogą pomóc w pokryciu części kosztów związanych z leczeniem implantologicznym.
Jak dbać o bezśrubowe implanty po ich wszczepieniu
Prawidłowa pielęgnacja bezśrubowych implantów po ich wszczepieniu jest kluczowa dla zapewnienia ich długotrwałej funkcjonalności oraz estetyki. Po zakończeniu procesu gojenia pacjent powinien stosować się do zaleceń lekarza dotyczących higieny jamy ustnej. Regularne szczotkowanie zębów oraz nitkowanie to podstawowe czynności, które pomogą utrzymać czystość wokół implantu i zapobiec wystąpieniu infekcji. Ważne jest również unikanie twardych pokarmów oraz nadmiernego obciążania implantu w pierwszych tygodniach po zabiegu, aby umożliwić prawidłową integrację z tkankami kostnymi. Pacjenci powinni regularnie odwiedzać stomatologa w celu kontroli stanu implantu oraz przeprowadzania profesjonalnych zabiegów czyszczących. Warto również zwrócić uwagę na dietę – spożywanie pokarmów bogatych w witaminy i minerały wspiera zdrowie kości i dziąseł. Osoby palące powinny rozważyć ograniczenie lub zaprzestanie palenia tytoniu, ponieważ ma to negatywny wpływ na proces gojenia oraz zdrowie jamy ustnej.
Jakie są najnowsze osiągnięcia w technologii bezśrubowych implantów
Technologia bezśrubowych implantów stale się rozwija, a nowe osiągnięcia w tej dziedzinie przyczyniają się do poprawy jakości leczenia stomatologicznego. Jednym z najważniejszych trendów jest zastosowanie materiałów biokompatybilnych, które minimalizują ryzyko reakcji alergicznych oraz zwiększają trwałość implantu. Nowoczesne technologie umożliwiają również precyzyjne projektowanie implantów dostosowanych do indywidualnych potrzeb pacjentów, co sprzyja lepszej integracji z tkankami kostnymi. Coraz częściej wykorzystuje się także technologie cyfrowe do planowania zabiegów – dzięki skanowaniu 3D można dokładnie ocenić stan jamy ustnej i zaplanować optymalne miejsce dla implantu jeszcze przed rozpoczęciem zabiegu. Innowacyjne metody wszczepiania implantu pozwalają na skrócenie czasu zabiegu oraz zmniejszenie inwazyjności procedury. Warto również zwrócić uwagę na rozwój systemów monitorowania stanu implantu po jego wszczepieniu – nowoczesne technologie umożliwiają lekarzom bieżące śledzenie postępów gojenia oraz reagowanie na ewentualne problemy w czasie rzeczywistym.
Jakie są opinie pacjentów o bezśrubowych implantach
Opinie pacjentów o bezśrubowych implantach są zazwyczaj pozytywne i świadczą o rosnącej popularności tego rozwiązania w stomatologii. Wielu pacjentów docenia komfort związany z mniejszą inwazyjnością zabiegu oraz szybszym czasem rekonwalescencji w porównaniu do tradycyjnych metod wszczepiania implantów. Pacjenci często podkreślają również estetykę – brak widocznych elementów mocujących sprawia, że uśmiech wygląda naturalniej i bardziej atrakcyjnie. Osoby korzystające z bezśrubowych implantów zwracają uwagę na poprawę jakości życia – możliwość swobodnego żucia i mówienia bez obaw o stabilność implantu daje im poczucie pewności siebie. Wiele osób zauważa także mniejsze ryzyko powikłań oraz infekcji związanych z tym rodzajem implantacji, co dodatkowo wpływa na ich pozytywne doświadczenia. Oczywiście nie brakuje też głosów krytycznych – niektórzy pacjenci wskazują na wyższe koszty związane z tym rozwiązaniem jako istotny minus.
Czy warto zdecydować się na bezśrubowe implanty
Decyzja o wyborze bezśrubowych implantów powinna być dobrze przemyślana i oparta na indywidualnych potrzebach pacjenta oraz jego stanie zdrowia. Bezszubowe rozwiązania oferują wiele korzyści, takich jak mniejsza inwazyjność zabiegu, szybszy czas rekonwalescencji oraz lepsza estetyka uśmiechu dzięki braku widocznych elementów mocujących. Dla wielu osób te zalety mogą przeważać nad wyższymi kosztami związanymi z tym rodzajem leczenia. Ważne jest jednak przeprowadzenie dokładnej konsultacji ze specjalistą przed podjęciem decyzji – lekarz pomoże ocenić stan zdrowia jamy ustnej oraz określić najlepszą metodę leczenia dla danego pacjenta. Ponadto warto zwrócić uwagę na nowoczesne osiągnięcia technologiczne w dziedzinie stomatologii, które mogą wpływać na skuteczność i bezpieczeństwo zabiegów związanych z wszczepieniem implantu.




